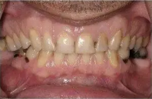
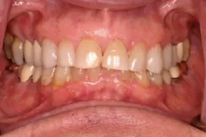
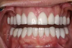
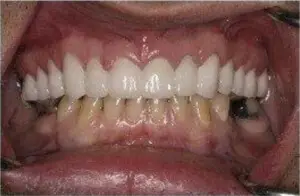
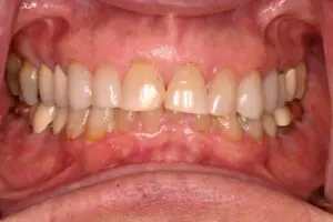
Veneers – Upper 6, Shade Harmonization
Before
After
Welcome to our Smile Gallery, where artistry and innovation in cosmetic dentistry come together. Every transformation you see here was designed by our team at Precious Smiles Cosmetic Dentistry in Miami Beach, led by Dr. Isidoros Mereos, to enhance confidence, restore function, and create naturally radiant smiles. Explore real patient results from our most popular treatments — from veneers and dental implants to All-on-X full-arch restorations and teeth whitening.
Dental Implants and All-on-X Solutions in Miami Beach
For patients with missing or severely damaged teeth, dental implants and All-on-X full-arch prostheses offer life-changing results. Using advanced digital planning and precision placement, we restore both function and beauty — often in just one or two visits.
Typical benefits include: natural aesthetics, long-term durability, and the ability to eat and smile with complete confidence again.
BEFORE DENTAL IMPLANTS
AFTER DENTAL IMPLANTS
BEFORE ALL-ON-SIX CASE
ALL-ON-SIX PROSTHESIS
AFTER ALL-ON-SIX CASE
Porcelain Veneers in Miami Beach – Instant, Lasting Transformations
Veneers are one of our most requested cosmetic treatments for achieving a flawless, camera-ready smile. These ultra-thin porcelain shells correct discoloration, chips, and minor alignment issues while maintaining a natural appearance. Each case is custom-crafted for ideal color, shape, and proportion — giving our Miami Beach patients the confidence to smile freely.
Typical benefits include: whiter, more uniform teeth, a youthful smile, and improved self-confidence.
BEFORE VENEERS
AFTER VENEERS
Smile Design Tailored to You
Every case at Precious Smiles is uniquely designed. Whether it’s a subtle enhancement or a full-mouth reconstruction, our focus is on harmony, balance, and natural results that reflect your personality.
Discover how advanced cosmetic dentistry in Miami Beach can transform not just your smile — but your entire outlook on life.
BEFORE FULL RECONSTRUCTION
AFTER FULL RECONSTRUCTION
BEFORE FULL RECONSTRUCTION
AFTER FULL RECONSTRUCTION
BEFORE UPPER ARCH CASE
AFTER UPPER ARCH CASE
Schedule a consultation with our team at Precious Smiles Cosmetic Dentistry in Miami Beach. Call us at (305) 532-9114 or request an appointment online to begin your personalized smile makeover journey.
Start here: Veneers · Dental Implants · Teeth Whitening
Miami Beach · Minimal-prep porcelain veneers
Function + esthetics · Immediate load option